

Hilde Bouchaut
-
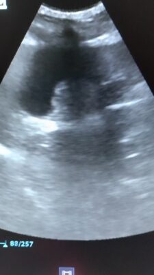
Hilde Bouchaut startte de discussie Galblaas in het forum Moeilijke klinische Cases: Laat Je Helpen! Samen Kunnen we Meer! 2 jaren geleden
Ik heb hier een chihuahua van bijna 12 jaar, die regelmatig niet wil eten en vaak vlak na het eten onrust en pijn vertoont. Uit het bloedonderzoek komt enkel milde stijging alkalische fosfatase en een milde verhoging van de galzuren. Bij echografie zie ik in de galblaas een hyperechogene structuur die zowel bij ruglig (1e filmpje) als bij…Lees meer
-
Hilde Bouchaut antwoordde op de discussie Kat met diepe staartwonde hoe behandelen onder verband? in het forum Moeilijke klinische Cases: Laat Je Helpen! Samen Kunnen we Meer! 2 jaren geleden
-
Hilde Bouchaut antwoordde op de discussie Kat met diepe staartwonde hoe behandelen onder verband? in het forum Moeilijke klinische Cases: Laat Je Helpen! Samen Kunnen we Meer! 2 jaren geleden
Kat met diepe staartwonde hoe behandelen onder verband?
Even een update. De wonde op de staart is dicht geraakt. We houden het nog even onder verband omdat het weefsel zo broos is en uit angst dat de kat eraan gaat bijten. Vraag is nu : wat kan ik erop doen om de huid te verstevigen?
Alvast bedankt
-
Hilde Bouchaut antwoordde op de discussie Kat met diepe staartwonde hoe behandelen onder verband? in het forum Moeilijke klinische Cases: Laat Je Helpen! Samen Kunnen we Meer! 2 jaren geleden
-
Hilde Bouchaut antwoordde op de discussie wat te doen bij teveel aan granulatieweefsel? in het forum Vragen bij Chirurgie, Orthopedie en Stomatologie Cursussen 2 jaren geleden
-
Hilde Bouchaut antwoordde op de discussie wat te doen bij teveel aan granulatieweefsel? in het forum Vragen bij Chirurgie, Orthopedie en Stomatologie Cursussen 2 jaren geleden
wat te doen bij teveel aan granulatieweefsel?
Hallo
In bijlage foto’s van de staart . 2 van vandaag en 1 van maandag . Daar zie je dat dat weefsel aan de staartbasis nog wat gebombeerd staat , maar dat is nu veel minder. Ik ben op aanraden van mensen uit de humane wondzorg begonnen met fluminal hydro. Wat denken jullie? Ik vind dat het zo traag gaat. Heb een betere methode gevonden om…
-
Hilde Bouchaut antwoordde op de discussie wat te doen bij teveel aan granulatieweefsel? in het forum Vragen bij Chirurgie, Orthopedie en Stomatologie Cursussen 2 jaren geleden
wat te doen bij teveel aan granulatieweefsel?
Het gaat om een kat van 1.5 jaar. De staartpunt is ok maar tussen de staartpunt en vanaf ongeveer 7 CM vanaf de staartbasis komen her en der longitudinale letsels voor , niet volledig 360 graden. Vnl dichtbij de staartbasis is het granulatieweefsel wat verheven maar redelijk effen. De antibiotica heb ik gedaan omdat de kat er regelmatig in…Lees meer
-
Kat met diepe staartwonde hoe behandelen onder verband?
Ik heb een patiëntje , een kat , die een diepe wonde aan de staart had en toen die bijna genezen was , heeft hij de staart kapot gebeten . Ik heb aan de eigenaar te kennen gegeven dat voor mij de oplossing staartamputatie is maar de eigenaar wil verder proberen de staart onder verband te verzorgen. Een heel gedoe want de kat krijgt regelmatig…
-
Hilde Bouchaut startte de discussie wat te doen bij teveel aan granulatieweefsel? in het forum Vragen bij Chirurgie, Orthopedie en Stomatologie Cursussen 2 jaren geleden
wat te doen bij teveel aan granulatieweefsel?
Ik heb een patiëntje , een kat , die een diepe wonde aan de staart had en toen die bijna genezen was , heeft hij de staart kapot gebeten . Ik heb aan de eigenaar te kennen gegeven dat voor mij de oplossing staartamputatie is maar de eigenaar wil verder proberen de staart onder verband te verzorgen. Een heel gedoe want de kat krijgt…
-
Hilde Bouchaut startte de discussie diabetes /sterilisatie in het forum Moeilijke klinische Cases: Laat Je Helpen! Samen Kunnen we Meer! 2 jaren geleden
Ik heb hier een husky vrouwelijk intact van 9 jaar die in september gediagnosticeerd is met diabetes mellitus. Innitieel reageerde ze goed op de caninsulin bid maar sinds een paar weken is de glucosespiegel weer erg hoog . Ze is in december loops geweest en ik vermoed dat het door de metoestrus komt. Maar de mensen willen niet laten…
- Laad meer