Hanne Keupers
-
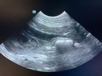
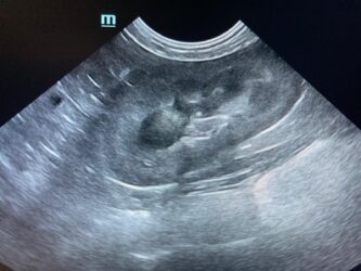
Hanne Keupers antwoordde op de discussie Aanhoudende Hematurie in het forum Moeilijke klinische Cases: Laat Je Helpen! Samen Kunnen we Meer! 8 weken geleden
Deel 2 van het bloedonderzoek van 18 09
-
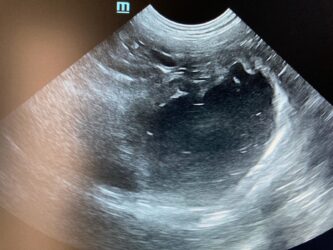
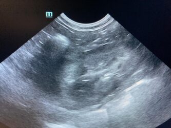
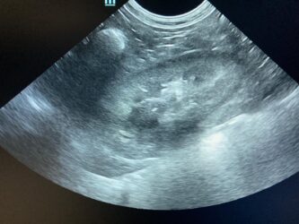
Hanne Keupers startte de discussie Aanhoudende Hematurie in het forum Moeilijke klinische Cases: Laat Je Helpen! Samen Kunnen we Meer! 8 weken geleden
Graag nog eens wat input gevraagd:
Dimitri, CV, 9.6kg, 11j, MC, bijgeruis 4/6 waarvoor hij vetmedin krijgt en opgevolgd wordt door cardioloog:
21/08/2025: Bij buurtcollega aangeboden voor hematurie. Plast vlot, op’t einde bloed te zien. Mevr. kookt zelf voor hem. Echo gehad + UOZ (geen idee hoe dit werd gecollecteerd) gedaan. Veel bloed in de…
-
Hanne Keupers antwoordde op de discussie Sheltie met lymfoplasmocytaire enteritis + recidiverende cystitis. in het forum Moeilijke klinische Cases: Laat Je Helpen! Samen Kunnen we Meer! 8 weken geleden
Sheltie met lymfoplasmocytaire enteritis + recidiverende cystitis.
Bedankt voor de toelichting!
Het is al zo’n lang en complex verhaal. Ik zie mevr. bijna wekelijks, en ze komt ook nog regelmatig in de kliniek. Dus ‘k heb het wat samengevat.
Alle bloedonderzoeken en stoelgangonderzoeken zijn al meermaals gebeurd.
Wat de blaasontsteking betreft hervalt ze eigenlijk enkele dagen na het stoppen van de… -
Sheltie met lymfoplasmocytaire enteritis + recidiverende cystitis.
Sheltie, V intact, 9j. Sinds een jaar maagdarm klachten: misselijk/smekken/boeren/overgeven. Heeft al een hele historiek achter de rug, deels in een tweedelijns kliniek (waar mevr eerst ging), deels hier. Reeds vele echo’s in de kliniek gehad, bioptnames met gastroscopie. Diagnose in december – lymfoplasmocytaire enteritis met…
-
Hanne Keupers antwoordde op de discussie Atypische addisson / Pancreatitis in het forum Moeilijke klinische Cases: Laat Je Helpen! Samen Kunnen we Meer! een jaar geleden
Atypische addisson / Pancreatitis
Bedankt voor je reactie!
Stoelgang onderzoek was ook gedaan en negatief.
Hij staat nu op RC multifunction hypo/low fat, met ondersteunend cerenia/emeprid. Eetlust en misselijkheid kwakkelen nog wat. Dus misschien moeten we toch nog verder gaan zoeken.
Alvast erg bedankt voor de input.
Groetjes -
Hanne Keupers startte de discussie Atypische addisson / Pancreatitis in het forum Moeilijke klinische Cases: Laat Je Helpen! Samen Kunnen we Meer! een jaar geleden
Atypische addisson / Pancreatitis
Franse bulldog, MN 7.5j. Al enkele weken klachten van intermitterend braken, lusteloos, eet wel nog maar minder gretig en houdt het vaak niet binnen. Bij een buurtcollega behandeld met cerenia en pathomed, maar zonder resultaat. Staat op Trovet paard owv jeuk op kip. Bloedname 13/11 (nuchter) deed vermoeden dat het om pancreatitis ging…
