Karin Lunenborg
-
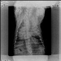
beoordeling RX thorax bij hoestende hond
Graag zou ik jullie hulp willen vragen over de volgende patient: Het is een kruising jack russel met franse bulldog van 15 jaar oud, Mk. Hij is 4 weken plots begonnen met hoesten. Het is een droge piepende hoest, dat vaak eindigt in even kokhalzen. Het hoesten is niet gekoppeld aan activiteit, maar in diepe slaap hoest hij niet. Eetlust…
-
Karin Lunenborg antwoordde op de discussie vitamine B12 blijft te laag in het forum Vragen Gastro-enterologie Cursussen een jaar geleden
De hond heeft geen IG-S blijkt uit de genetische test. Ik heb ook MMA gemeten, dat is 580 nmol/L en dus volgens Idexx niet gestegen. (normaal 415-1193) Als ik het dus goed interpreteer zou de hond geen vitamine B12 tekort hebben op celniveau en zijn er dus geen zorgen?
De hond doet het klinisch ook goed op zijn huidige voeding, dus dan zouden…
-
Karin Lunenborg antwoordde op de discussie vitamine B12 blijft te laag in het forum Vragen Gastro-enterologie Cursussen een jaar geleden
Bedankt voor het antwoord. We gaan zeker testen dan. Ik had er inderdaad nog nooit van gehoord maar eigenaren zijn heel gemotiveerd. Ontlastingsonderzoek is al een tijdje geleden maar was de laatste keer negatief. Basaal cortisol was 24,8, dus we hebben een ACTH-stimulatietest gedaan om addison uit te sluiten en die was goed. Galzuren en…
-
Karin Lunenborg startte de discussie vitamine B12 blijft te laag in het forum Vragen Gastro-enterologie Cursussen een jaar geleden
Hoi, wat doen jullie als vitamine B12 niet stijgt?
Het gaat om een Beagle van 1 jaar, M, die al sinds pup chronische dunne darmdiarree heeft met dagen van niet willen eten en sloom zijn. Heeft Giardia gehad. Uiteindelijk kunnen overhalen om verder op te werken. IN bloedonderzoek was vitamine B12 en foliumzuur te laag. Vitamine B12 was toen…
-
Karin Lunenborg antwoordde op de discussie galstenen in het forum Moeilijke klinische Cases: Laat Je Helpen! Samen Kunnen we Meer! een jaar geleden
Bedankt voor het uitgebreide antwoord. Omdat de kat geen klachten heeft is mevrouw nu niet gemotiveerd voor verder onderzoek. We gaan beginnen met hypoallergene voeding en ursochol.
-
Karin Lunenborg startte de discussie galstenen in het forum Moeilijke klinische Cases: Laat Je Helpen! Samen Kunnen we Meer! een jaar geleden
Ik heb vandaag een kat gezien, Heilige Birmaan, Mk, 13 jaar. Deze kat is door mijn op de metacam gezet vanwege arthroseklachten en een paar weken later is een klein panel biochemie gedaan om te kijken of dat goed ging. Er waren geen specifieke klachten die aanleiding daarvoor gaven. Wel braakt deze kat al jaren wekelijks waar nooit iets mee…
-
Karin Lunenborg antwoordde op de discussie Behandeling IMHA in het forum Vragen Cursussen: Anemie, immuungemedieerde hemolytische anemie en stollingsstoornissen 2 jaren geleden
Heel erg bedankt voor het uitgebreide antwoord. We gaan nu Leflunomide proberen. Hoelang moet je dat proberen voordat je kan zeggen of het aanslaat?
-
Karin Lunenborg startte de discussie Behandeling IMHA in het forum Vragen Cursussen: Anemie, immuungemedieerde hemolytische anemie en stollingsstoornissen 2 jaren geleden
Ik heb een patient, Malteser, Vk van 4 jaar. Die vorig jaar is gediagnosticeerd met anemie. Ze is in 1e instantie op de pred gezet en bij normale Ht is dat al snel afgebouwd wat vrij snel tot opnieuw daling van de Ht leidde. En dat is het moment dat ik haar voor het eerst zag. Ze is vervolgens ook bij een internist geweest om andere oorzaken…
