Sofie de Pooter
-
Sofie de Pooter antwoordde op de discussie Hond met sludge in de galblaas en steen in de urineblaas in het forum Moeilijke klinische Cases: Laat Je Helpen! Samen Kunnen we Meer! 2 jaren geleden
Hond met sludge in de galblaas en steen in de urineblaas
Superbedankt Geert voor de uitgebreide uitleg 😊! In overleg met de eigenares gaan we de antibioticakuur verlengen (ze heeft nog maar 1 week antibiotica gekregen) en daarna de grootte van de steen controleren. De hond heeft geen hypothyroidie of hyperlipidemie. De ursochol zetten we door en de galblaas volgen we op. Ik hou je op de hoogte.
Sofie
-
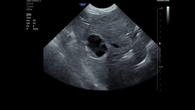
Hond met sludge in de galblaas en steen in de urineblaas
Hallo,
Ik heb een vraag over een 10-jaar oude vrouwelijke Keeshond. Ze werd aangeboden met hematurie en strangurie. Geen andere klachten. UOZ: SG 1048, pH 6.5, WBC en RBC, geen kristallen, GLU (50mg/dL), KET 15.0 mg/dL, BIL 1.0 MG/dL. Omwille van de veranderingen in het UOZ ook een BOZ uitgevoerd: ALT: 299 U/I (10-125), ALKP 1676 (23-212), GGT…
0:20
-
Sofie de Pooter antwoordde op de discussie Katje met een piepende ademhaling in het forum Moeilijke klinische Cases: Laat Je Helpen! Samen Kunnen we Meer! 3 jaren geleden
Katje met een piepende ademhaling
Hallo Geert,
Manfred heeft in de specialistenkliniek een hartecho gehad en er is een milde hartziekte gediagnosticeerd die niet de oorzaak kon zijn van de symptomen. Allergische bronchitis/asthma was de meest waarschijnlijk diagnose. Er zijn andere onderzoeken voorgesteld (CT scan en endoscopie luchtwegen), maar omwille van hoge kosten en…
-
Sofie de Pooter antwoordde op de discussie Katje met een piepende ademhaling in het forum Moeilijke klinische Cases: Laat Je Helpen! Samen Kunnen we Meer! 3 jaren geleden
Katje met een piepende ademhaling
Hi Geert,
Dankjewel voor de uitgebreide uitleg! De eigenaar is gemotiveerd en Manfred is doorgestuurd naar een specialistenkliniek. Ik laat je iets weten zodra de uitslag bekend is.
Groetjes,
Sofie
Geert Paes -
Sofie de Pooter startte de discussie Katje met een piepende ademhaling in het forum Moeilijke klinische Cases: Laat Je Helpen! Samen Kunnen we Meer! 3 jaren geleden
Katje met een piepende ademhaling
Hallo,
Ik heb een vraag over een katje met een piepende ademhaling.
Een 13-jarige gecastreerde kater (huidig gewicht 5,45 kg) heeft sinds enkele dagen een piepende ademhaling, geen hoesten opgemerkt, afgelopen maanden gewichtsverlies (ongeveer 300 gr), afgelopen jaren periodes van braken en slechter eten, 2 jaar geleden pijnlijke iets…
-
Sofie de Pooter startte de discussie Proteinurie bij oudere Cocker Spaniel in het forum Vragen Cursus: Urine- en ontlastingsonderzoek in de praktijk 3 jaren geleden
Proteinurie bij oudere Cocker Spaniel
Hallo Geert,
Ik heb de cursus urineonderzoek in de praktijk afgerond en ik had een vraag over proteinurie. Ik heb een 13-jaar oude Cocker Spaniel met vermageren (1 kg in afgelopen maanden) maar voor de rest geen klinische klachten (geen verminderde eetlust, geen PU/PD). BOZ normale leverwaarden, nierwaarden (ureum, creat, SDMA), elektrolyen,…
