Radiologie Quiz Oktober 2025
In samenwerking met Dr Adrien-Maxence Hespel van de Universiteit van Tenessee bieden we volgende radiologie quiz aan. Het doel van deze casus is om te oefenen in het herkennen van radiografische tekenen en om een radiografische diagnose te stellen op basis van een korte beschrijving van de patiënt. In het laatste stukje volgt nog wat meer informatie over de behandeling.
Casus oktober 2025
Geschiedenis
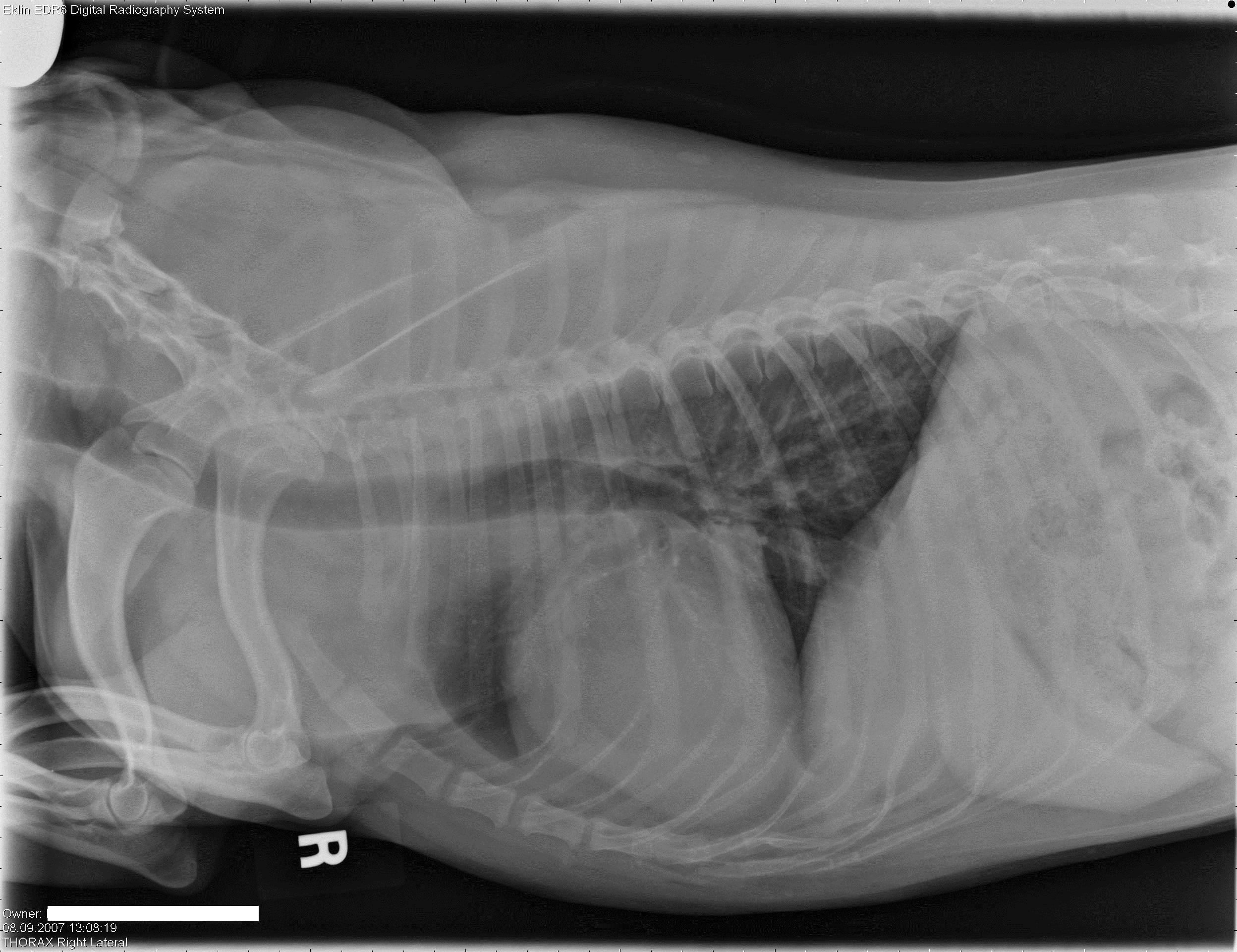
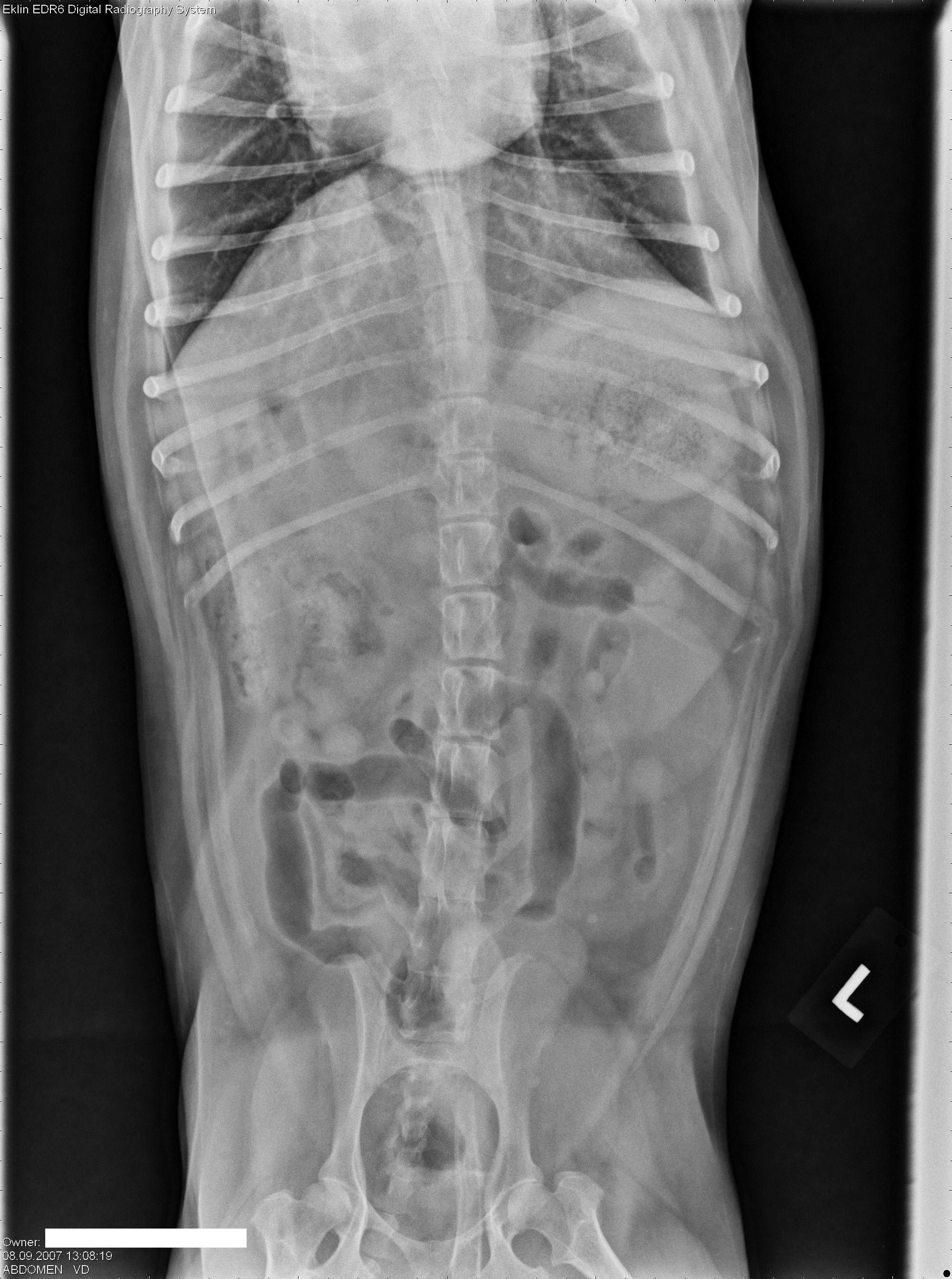
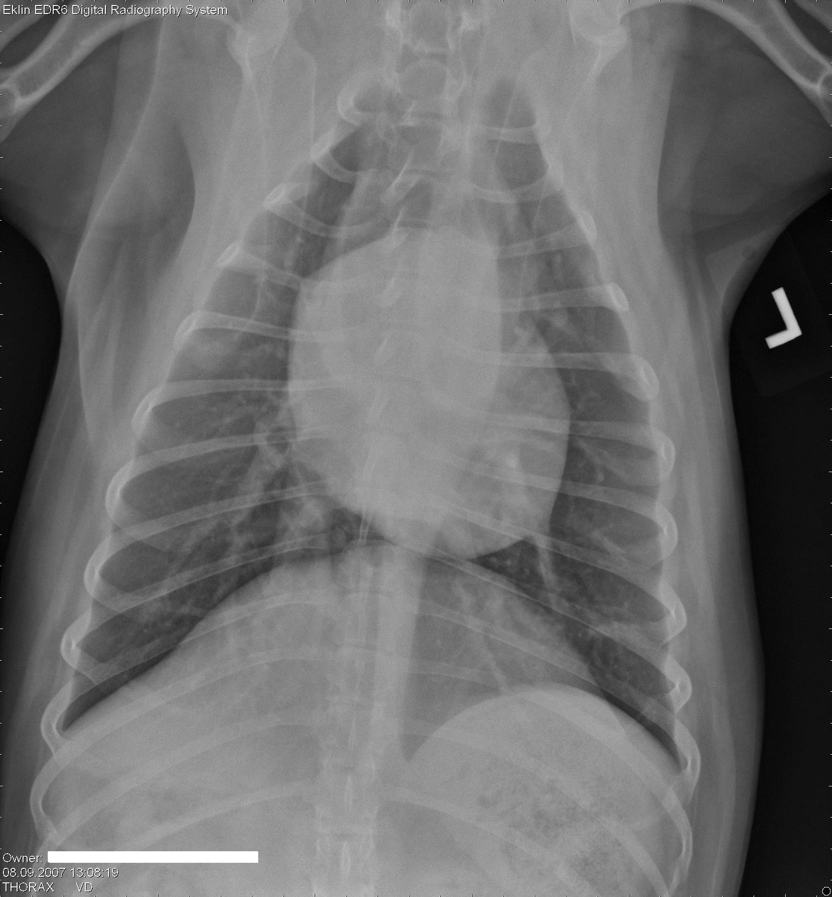
Een 10 jaar oude, mannelijk, gecastreerde hond wordt bij je aangeboden met erge tenesmus.Â
Röntgen foto’s
Hieronder vind je 5 Röntgen foto’s thorax en abdomen. Gebruik de pijltjes om erdoor te schuiven, of klik op de foto om te vergroten.
Wil je meer leren over oncologie?
Volg dan een van onze oncologie webinars!
- Mastocytoma bij kat en hond Â
- Lymfoma bij de hondÂ
- Lymfoma bij de kat
- Osteosarcoma bij kat en hondÂ
- HemangiosarcomaÂ
Lesgever: Arno Roos, DVM, MSC Clinical Oncology






Reacties